January 2018

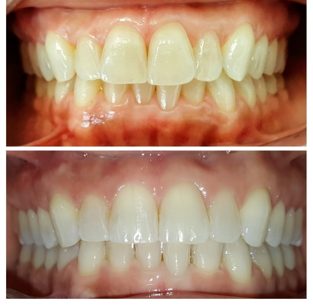
Sandra: Age 51 

Examination:

  • Complete X-ray, Perio & Clinical Exam

Evaluation:

  • Max & Mandibular Anterior Relapse

  • Patient main goal was to “Refresh” her smile

Treatment:

  • Invisalign Express 10

  • 10 Aligners

  • 7 Day Rotations / No Refinement

  • 2.5 month Treatment Time

  • Zoom Bleaching

Acceleration:

  • Munchies, 10 minutes, 4 times a day

Shon Dempsey2018