May 2018

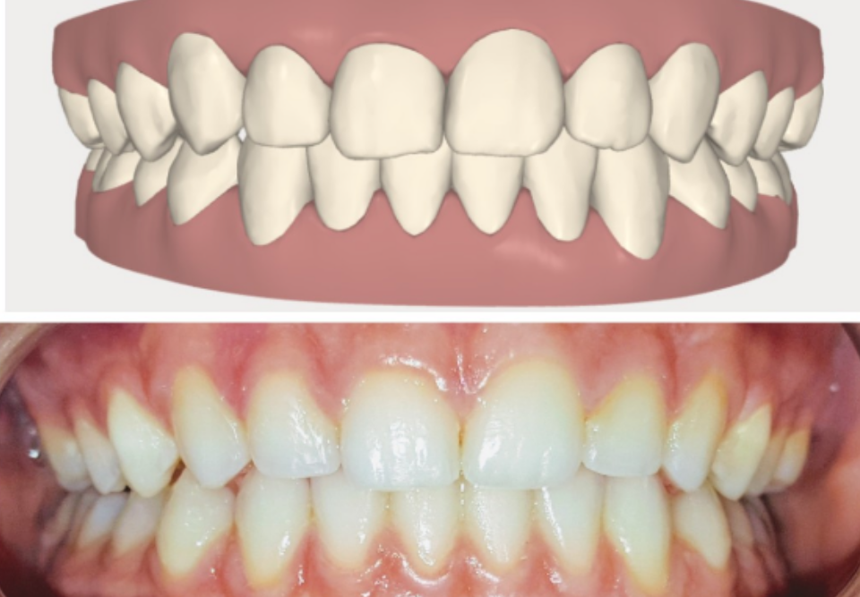
Prisilla: Age 15

This case is indicative of the trend going lower & lower in treatment ages with Invisalign!!

Examination:

  • Complete X-ray, Perio & Clinical Exam

Evaluation:

  • Maxillary Spacing

  • Mandibular Spacing

Treatment:

  • Invisalign Lite Case

  • Invisalign Teen

  • 23 Aligners

  • 7 Day Rotations/ No Refinement

  • Manicuring & Tray Bleaching

  • 5.5 month Treatment

Acceleration:

  • Munchies: 15 minutes, 4 times a day

Shon Dempsey2018