December 2020

25 year Old Female

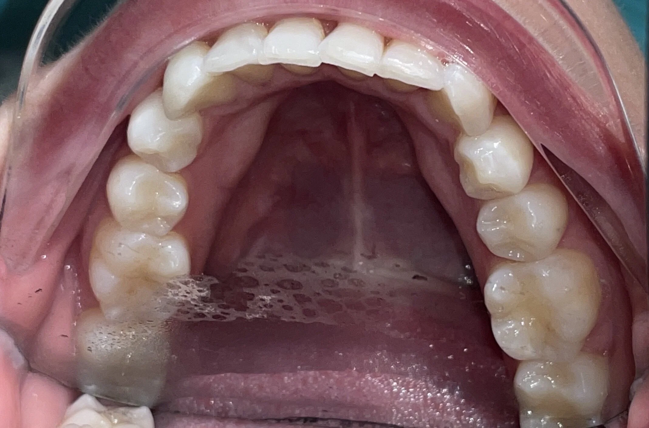
Examination:

  • Comprehensive, FM/PANO., Perio Chartin, Dental Health Scan

Evaluation

  • Crowding Due to Supernumerary 10A

  • Midline Shift

Treatment:

  • Invisalign Comprehensive Treatment with the extraction of 10A

  • 2 ClinChecks:

    • 1st ClinCheck : 29 aligners/ 14 day wear for the first three trays and 7 day wear until finish

    • 2nd ClinCheck: 12 aligners/ 7-day wear

      • (Refinement was needed because of COVID – Damn!!)

  • Treatment time: 1 year

  • Acceleration

    • Munchie Madness Protocol: Pink and Blue 15min/4x day

  • Case Finish

    • Incisal manicuring

    • Scanned for Viveras

Shon Dempsey