January 2020

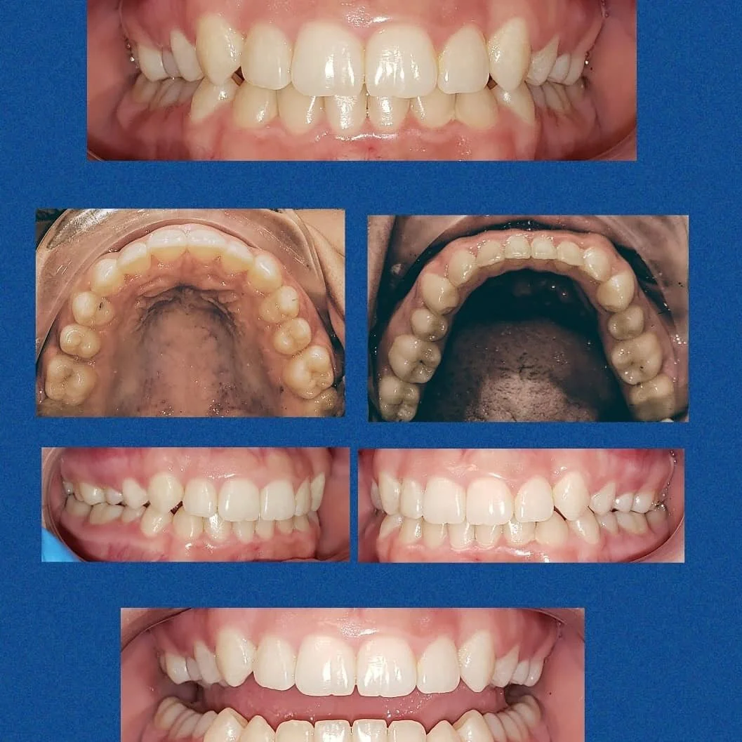
Collage 2020-01-05 14_07_08.jpg
IMG_20191217_102848_229.jpg
IMG_20191217_102848_232.jpg
IMG_20191217_102848_236.jpg
Collage 2020-01-05 11_06_34.jpg

Kaitlyn: Age of Treatment  13-14

EXAMINATION:

• Complete Clinical, Xray & Perio Exam

EVALUATION:

• Pt. had retained #H & lacked the proper eruption # 6 & 11

TREATMENT:

 **This case was completed exclusively with just plastic, there were no elastics or other adjunct therapies applied....

• Invisalign Comprehensive Treatment. 

• 1st Clincheck was 38 Aligners  and treatment was commenced with extraction #H & 7-day Rotations(fig. 1)

• At 9 mos. a 2nd clinic check of 13 Aligners was created with new attachments to fine-tune the result (fig.2).. 

• Treatment time 1 yr.... and treatment was started just before the pts.14th B'day and completed just before her 15th B'day this Xmas...

• fig. 3 & 4 & 5   are before/after pics...

• fig. 6 is Kaitlyn before & after...

Acceleration:

•All Acceleration was accomplished with EOCA Munchies...

• My Munchies Madness Protocol was employed: Original Red Munchies 15min/4x day & EPS Munchies for secure reseating of the Aligners

Shon Dempsey