June 2020

Celeste:

  • Age 35

EXAMINATION:

  • Comprehensive Clinical + Perio Exam 

  • Current panoramic x-ray

  • iTero full mouth scans

  • Extraoral photos

EVALUATION:

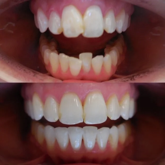
  • CC: “I hate my front crooked teeth, they’ve been that way my whole life. I homeschool our 3 small kids. I really want to do something for myself.

  • Instagram investigation revealed very few selfies prior to case start, most with closed lips

  • Class I R/L occlusion

  • V-shaped arches, similar amounts of crowding

  • #8-9 overlap, #24 lingualized most crowded teeth

Treatment:

  • Invisalign Comprehensive Case 

  • 16 aligners on first approved Clincheck

    • 7 day rotation

  • 1 refinement

  • Vivera Retainers

    • "After" photos from 4 years retention checkup

  • 8 month treatment time

    • Instagram loaded with close-up smiling selfies since case finished!

ACCELERATION:

  • 2016: VPro 5 mins/day

Shon Dempsey